2026.01.21 Wednesday

ブログ 

2025-10-21 16:55:00

日常日記📝~「おしっこが出ない!」は緊急事態~

こんにちは😌

朝晩がグッと冷え込むようになってきました。

これからの時期に多くなってくるのが、「おしっこが出ない!」という症状です。

当院でも、犬猫どちらも来院されました。

 

 

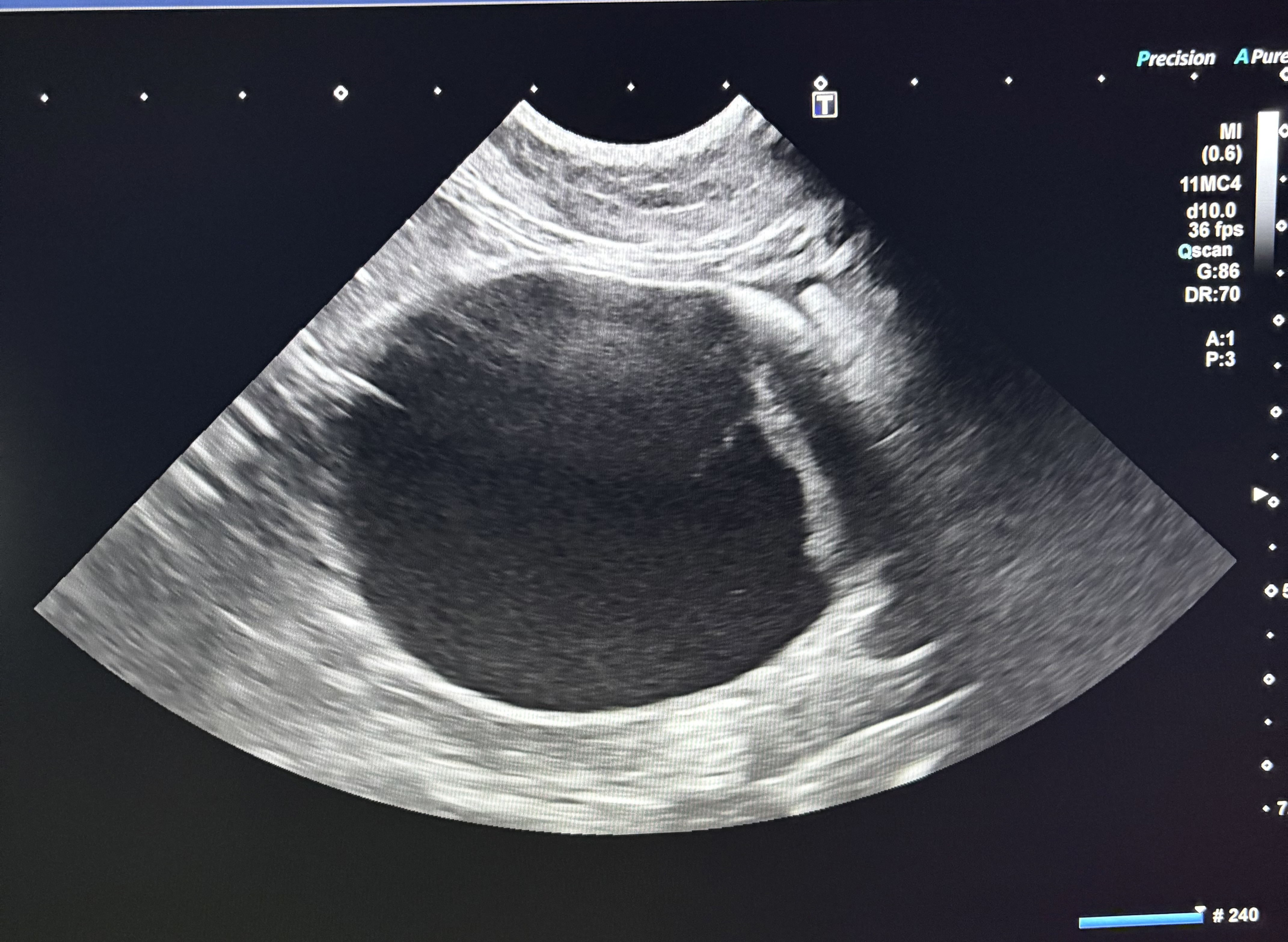
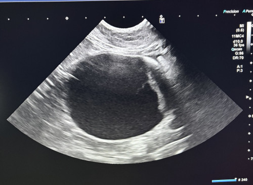
IMG_4541.jpeg 

 

こちらは来院された猫ちゃんのエコー検査した時の膀胱です

おしっこが出ないで溜まってしまって膀胱がパンパンになっています💦

この状態になってしまうと緊急処置が必要です。

 

 

 

 

 IMG_4433.jpeg

 

 

IMG_4434.jpeg

 

こちらは、ワンちゃんの閉塞した尿道にカテーテルを通した時のものです

よく見ると、カテーテルの中に結石がびっしりと詰まっています👀

1つ1つは小さな石ですが、細い尿道に少しずつ流れていって尿道が詰まってたり、くっついて大きな石になったりします。

 

 

特に猫ちゃんはこれからの季節、注意が必要です‼️

理由の1つに、飲水量の低下があります

 

猫はもともとあまり水を飲まない動物ですが、特にこれから寒くなると、さらに飲水量が減ってしまいます

また、寒暖の差がストレスになり膀胱炎も発症しやすくなります。

膀胱炎からはがれた粘膜が詰まってしまうこともあります😭

特に、尿道が細い男の子の猫ちゃんに多く見られます。

 

 

 

⚠️「おしっこが出ない」は、命に関わる緊急事態!

 

こんなサインが見られたら、すぐに来院してください!

・トイレに何度も行くが、おしっこが出ていない(または少量しか出ていない)

・トイレ以外でうずくまっていたり、苦しそうに鳴いていたりする。

・元気がない、食欲がない。

・お腹を触ると、パンパンに張っている気がする。

 

 

 

尿道閉塞を防ぐためには…飲水量を増やすストレスの軽減がポイントです

 

・暖かい水にしてみる

・ウェットフードに変更する

・ドライフードにお水を入れて浮かせて食べさせる

・トイレを清潔にする

・トイレの数を増やす

 

ぜひ試してみてください。

 

 

 

 

 

 

くるめ犬猫クリニック

務 渡辺